泉区 ピックアップ(PR)
公開日:2017.08.17
「低線量肺がんCT検診」で早期発見を
男女合計の死因トップは「肺がん」
厚生労働省人口動態統計推計によると、2016年の国内における死因の第1位は「がん」。また、部位別死亡数(15年国立がん研究センター統計予測)では男性の第1位は「肺がん」、女性は「大腸がん」。男女合計では「肺がん」で亡くなる人が最も多い――。
現在、肺がん検診としては、「胸部エックス線検査」または「胸部エックス線検査+喀痰細胞診」の組み合わせが広く行われているが、早期の小さな「がん」まで発見するのはなかなか難しい。見つかった時は手遅れの場合も多く、死亡者数の減少には役立っていないのが実情だという。そこで注目を集めているのが「低線量肺がんCT検診」。医療法人順正会『横浜鶴ヶ峰病院』の放射線科科長・平岩隆男医師は「低線量肺がん検診の目的は被ばくリスクをできるだけ抑え、転移を起こす前の治療可能な早期がんを見つけ、肺がんによる死亡者を少なくすることです」と話す。
早期5年生存率は90%
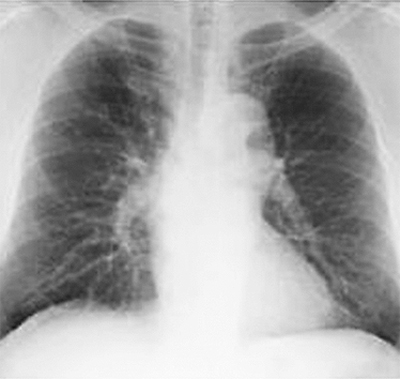
胸部エックス線(レントゲン)写真=写真左=では、肺の約3分の1は近接する臓器(心臓や血管、横隔膜など)と重なるため、小さな肺がんを見つけることが困難となる。一方、CT画像=写真右=は0・5㎜の厚さで横断像を撮影するため、重なりがなく、さらに分解能に優れるため、胸部エックス線には映らないような淡い陰影まで検出できる。「CT検診で発見した肺がんは86%以上が腫瘍3cm未満の早期で、5年生存率も90%と好成績を収めています」と平岩医師は話す。低線量肺がんCT検査料は9260円(税別)。
検査に関する詳細・問い合わせは左記へ。
横浜鶴ヶ峰病院総合健診センター
-
横浜市旭区川島町1764
TEL:045-370-5270
TEL:0120-489-119
ピックアップ
意見広告・議会報告
泉区 ピックアップ(PR)の新着記事
コラム
外部リンク
- LINE・メール版 タウンニュース読者限定
毎月計30名様に
Amazonギフトカード
プレゼント! -

あなたの街の話題のニュースや
お得な情報などを、LINEやメールで
無料でお届けします。
通知で見逃しも防げて便利です!














