平塚・大磯・二宮・中井 ピックアップ(PR)
公開日:2012.03.01
その日のうちに治療が完結
わずか1・5時間の最先端治療
口腔内の治療だけでなく、患者の生活にまで配慮したトータル的な治療で健康増進を支える治療を目指す「おざわ歯科医院」では、CAD/CAM(キャドカム)外来(最先端治療)に力を入れている。
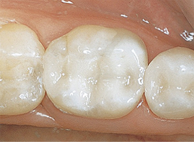
その一つが、専属の歯科技工士によるCAD/CAMコンピューターを使った「セラミックワンデートリートメント」の治療だ。
セラミックは金属アレルギーの心配がなく、耐久力にも優れている。歯に馴染む色合いで審美性に優れ、自然な仕上がりになるのも特徴。
同治療法では削った箇所をその場で3Dデータ化し、データを元に精密なセラミックブロックの削り出しが行われる。治療完了までの時間は1・5時間ほど。1日で治療が完結するため、忙しい患者の負担軽減にもつながるようだ。
他にも同院では、先進のCTも完備。その他、体成分測定で身体全体のバランスを考慮しながら治療計画を提案するなど口から全身へ、患者の健康長寿に主軸を置いた治療に日々努めている。■取材協力/医療法人晃徳会 おざわ歯科医院
医療法人晃徳会おざわ歯科
-
平塚市片岡1292
TEL:0120-37-4870
ピックアップ
意見広告・議会報告
平塚・大磯・二宮・中井 ピックアップ(PR)の新着記事
コラム
求人特集
- LINE・メール版 タウンニュース読者限定
毎月計30名様に
Amazonギフトカード
プレゼント! -

あなたの街の話題のニュースや
お得な情報などを、LINEやメールで
無料でお届けします。
通知で見逃しも防げて便利です!














