横須賀・三浦 ピックアップ(PR)
公開日:2021.09.24
神奈川歯科大附属病院
アルツハイマー病を早期発見
MRI画像のAI診断を活用
国内の認知症患者総数は600万人と推計されており、6人に一人が発症する計算だ。にもかかわらず、治療法は未だ存在していない。そうした中で新薬の登場という一筋の光明が差し込んだ。今年6月にアルツハイマー病(AD)の抗体治療薬が米国で承認され、実用化となった。これにより症状の進行を抑えることができるという。わが国でも来春の迅速承認が期待されている。
神奈川歯科大学附属病院 認知症・高齢者総合内科の眞鍋雄太教授によれば「夢の治療薬といえるが、すべてのADに適応する訳ではない。極々早期の軽度認知障害のADが対象」と説明する。認知症を発症する前の早い段階でADの可能性を把握できれば、新薬を用いて進行を防ぐことが可能であり、先制的予防介入の重要さを説いている。
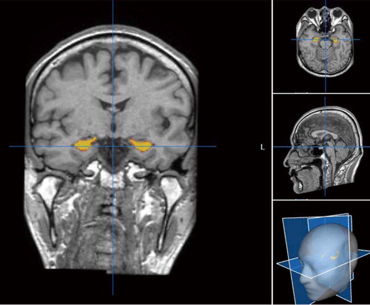
そこで眞鍋教授は、ADと密接な関係のある海馬の萎縮状態がわかるMRI検査に着目。MRI画像=写真=をAIでデータ解析することで、個々に応じた予防策を提案できるという。同病院では、次世代型のMRI画像診断「Brain SuiteR」を導入しており、これを用いた検査を行っている。
神奈川歯科大学附属病院
-
横須賀市小川町1-23
TEL:046-822-8877
他のエリアのニュース
ピックアップ
意見広告・議会報告
横須賀・三浦 ピックアップ(PR)の新着記事
コラム
- LINE・メール版 タウンニュース読者限定
毎月計30名様に
Amazonギフトカード
プレゼント! -

あなたの街の話題のニュースや
お得な情報などを、LINEやメールで
無料でお届けします。
通知で見逃しも防げて便利です!












